首页 / 产品 / 抗体

抗体

Rabbit Polyclonal Claudin4 Antibody

中文名:Claudin 4抗体

Catalog:IPDX23148

Size: 50μl / 100μl

Application: WB IF IHC ICC FCM Elisa

Reactivity:Human,Mouse,Rat

Synonyms:CLDN4; CPER; CPETR1; WBSCR8; Claudin-4; Clostridium perfringens enterotoxin receptor; CPE-R; CPE-receptor; Williams-Beuren syndrome chromosomal region 8 protein

Type:Primary antibody

Rabbit Polyclonal CMKLR1 Antibody

中文名:CMKLR1抗体

Catalog:IPDX23147

Size: 50μl / 100μl

Application: WB IF IHC ICC FCM Elisa

Reactivity:Human,Mouse,Rat

Synonyms:DEZ; RVER1; ChemR23; CHEMERINR

Type:Primary antibody

Rabbit Polyclonal CaMKIIalpha/delta Antibody

中文名:CaMKII alpha/delta抗体

Catalog:IPDX23146

Size: 50μl / 100μl

Application: WB IF IHC ICC FCM Elisa

Reactivity:Human,Mouse,Rat

Synonyms:CAMK2A; CAMKA; KIAA0968; Calcium/calmodulin-dependent protein kinase type II subunit alpha; CaM kinase II subunit alpha; CaMK-II subunit alpha; CAMK2D; CAMKD; Calcium/calmodulin-dependent protein kinase type II subunit delta; CaM kinase II

Type:Primary antibody

Rabbit Polyclonal kappaActin Antibody

中文名:kappa Actin抗体

Catalog:IPDX23145

Size: 50μl / 100μl

Application: WB IF IHC ICC FCM Elisa

Reactivity:Human,Mouse,Rat

Synonyms:ACT

Type:Primary antibody

Rabbit Polyclonal ADCY5/6 Antibody

中文名:ADCY5/6抗体

Catalog:IPDX23144

Size: 50μl / 100μl

Application: WB IF IHC ICC FCM Elisa

Reactivity:Human,Mouse,Rat

Synonyms:ADCY5; Adenylate cyclase type 5; ATP pyrophosphate-lyase 5; Adenylate cyclase type V; Adenylyl cyclase 5; ADCY6; KIAA0422; Adenylate cyclase type 6; ATP pyrophosphate-lyase 6; Adenylate cyclase type VI; Adenylyl cyclase 6; Ca(2+)-inhibitabl

Type:Primary antibody

Rabbit Polyclonal PPARgamma Antibody

中文名:PPAR gamma抗体

Catalog:IPDX23143

Size: 50μl / 100μl

Application: WB IF IHC ICC FCM Elisa

Reactivity:Human,Mouse,Rat

Synonyms:CIMT1; GLM1; NR1C3; Nuclear receptor subfamily 1 group C member 3; Peroxisome proliferator activated nuclear receptor gamma variant 1; Peroxisome proliferator activated receptor gamma 1; Peroxisome Proliferator Activated Receptor gamma; Peroxisome prolife

Type:Primary antibody

Rabbit Polyclonal ZAP70 Antibody

中文名:ZAP70抗体

Catalog:IPDX23142

Size: 50μl / 100μl

Application: WB IF IHC ICC FCM Elisa

Reactivity:Human,Mouse,Rat

Synonyms:ZAP70; SRK; Tyrosine-protein kinase ZAP-70; 70 kDa zeta-chain associated protein; Syk-related tyrosine kinase

Type:Primary antibody

Rabbit Polyclonal TSG101 Antibody

中文名:TSG101抗体

Catalog:IPDX23141

Size: 50μl / 100μl

Application: WB IF IHC ICC FCM Elisa

Reactivity:Human,Mouse,Rat

Synonyms:TSG101; Tumor susceptibility gene 101 protein; ESCRT-I complex subunit TSG101

Type:Primary antibody

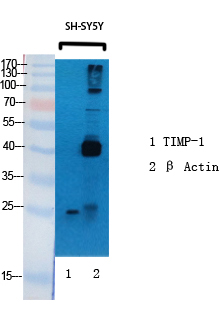
Rabbit Polyclonal MetalloproteinaseInhibitor1 Antibody

中文名:Metalloproteinase Inhibitor 1抗体

Catalog:IPDX23140

Size: 50μl / 100μl

Application: WB IF IHC ICC FCM Elisa

Reactivity:Human,Mouse,Rat

Synonyms:TIMP1; CLGI; TIMP; Metalloproteinase inhibitor 1; Erythroid-potentiating activity; EPA; Fibroblast collagenase inhibitor; Collagenase inhibitor; Tissue inhibitor of metalloproteinases 1; TIMP-1

Type:Primary antibody

Rabbit Polyclonal TAK1 Antibody

中文名:TAK1抗体

Catalog:IPDX23139

Size: 50μl / 100μl

Application: WB IF IHC ICC FCM Elisa

Reactivity:Human,Mouse,Rat

Synonyms:MAP3K7; TAK1; Mitogen-activated protein kinase kinase kinase 7; Transforming growth factor-beta-activated kinase 1; TGF-beta-activated kinase 1

Type:Primary antibody

Rabbit Polyclonal SIRT1 Antibody

中文名:SIRT1抗体

Catalog:IPDX23138

Size: 50μl / 100μl

Application: WB IF IHC ICC FCM Elisa

Reactivity:Human,Mouse,Rat

Synonyms:SIRT1; SIR2L1; NAD-dependent protein deacetylase sirtuin-1; hSIRT1; Regulatory protein SIR2 homolog 1; SIR2-like protein 1; hSIR2

Type:Primary antibody

Rabbit Polyclonal RFWD3 Antibody

中文名:RFWD3抗体

Catalog:IPDX23137

Size: 50μl / 100μl

Application: WB IF IHC ICC FCM Elisa

Reactivity:Human,Mouse,Rat

Synonyms:FANCW; RNF201

Type:Primary antibody

Rabbit Polyclonal PKCzeta Antibody

中文名:PKC zeta抗体

Catalog:IPDX23136

Size: 50μl / 100μl

Application: WB IF IHC ICC FCM Elisa

Reactivity:Human,Mouse,Rat

Synonyms:PRKCZ; PKC2; Protein kinase C zeta type; nPKC-zeta

Type:Primary antibody

Rabbit Polyclonal MyosinPhosphatase Antibody

中文名:Myosin Phosphatase抗体

Catalog:IPDX23135

Size: 50μl / 100μl

Application: WB IF IHC ICC FCM Elisa

Reactivity:Human,Mouse,Rat

Synonyms:PPP1R12A; MBS; MYPT1; Protein phosphatase 1 regulatory subunit 12A; Myosin phosphatase-targeting subunit 1; Myosin phosphatase target subunit 1; Protein phosphatase myosin-binding subunit

Type:Primary antibody

Rabbit Polyclonal HuB/HuD Antibody

中文名:HuB/HuD抗体

Catalog:IPDX23134

Size: 50μl / 100μl

Application: WB IF IHC ICC FCM Elisa

Reactivity:Human,Mouse,Rat

Synonyms:ELAVL2; HUB; ELAV-like protein 2; ELAV-like neuronal protein 1; Hu-antigen B; HuB; Nervous system-specific RNA-binding protein Hel-N1; ELAVL4; HUD; PNEM; ELAV-like protein 4; Hu-antigen D; HuD; Paraneoplastic encephalomyelitis antigen HuD

Type:Primary antibody

Rabbit Polyclonal FSHR Antibody

中文名:FSHR抗体

Catalog:IPDX23133

Size: 50μl / 100μl

Application: WB IF IHC ICC FCM Elisa

Reactivity:Human,Mouse,Rat

Synonyms:FSHR; LGR1; Follicle-stimulating hormone receptor; FSH-R; Follitropin receptor

Type:Primary antibody

Rabbit Polyclonal Fibronectin Antibody

中文名:Fibronectin抗体

Catalog:IPDX23132

Size: 50μl / 100μl

Application: WB IF IHC ICC FCM Elisa

Reactivity:Human,Mouse,Rat

Synonyms:FN1; FN; Fibronectin; FN; Cold-insoluble globulin; CIG

Type:Primary antibody

Rabbit Polyclonal FasLigand Antibody

中文名:Fas Ligand抗体

Catalog:IPDX23131

Size: 50μl / 100μl

Application: WB IF IHC ICC FCM Elisa

Reactivity:Human,Mouse,Rat

Synonyms:FASLG; APT1LG1; CD95L; FASL; TNFSF6; Tumor necrosis factor ligand superfamily member 6; Apoptosis antigen ligand; APTL; CD95 ligand; CD95-L; Fas antigen ligand; Fas ligand; FasL; CD antigen CD178

Type:Primary antibody

Rabbit Polyclonal Desmin Antibody

中文名:Desmin抗体

Catalog:IPDX23130

Size: 50μl / 100μl

Application: WB IF IHC ICC FCM Elisa

Reactivity:Human,Mouse,Rat

Synonyms:DES; Desmin

Type:Primary antibody

Rabbit Polyclonal Bcl6 Antibody

中文名:Bcl6抗体

Catalog:IPDX23129

Size: 50μl / 100μl

Application: WB IF IHC ICC FCM Elisa

Reactivity:Human,Mouse,Rat

Synonyms:BCL6; BCL5; LAZ3; ZBTB27; ZNF51; B-cell lymphoma 6 protein; BCL-6; B-cell lymphoma 5 protein; BCL-5; Protein LAZ-3; Zinc finger and BTB domain-containing protein 27; Zinc finger protein 51

Type:Primary antibody