首页 / 产品 / 抗体

抗体

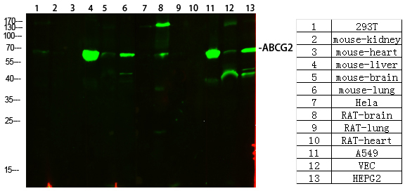
Rabbit Polyclonal ABCG2 Antibody

中文名:ABCG2抗体

Catalog:IPDX23128

Size: 50μl / 100μl

Application: WB IF IHC ICC FCM Elisa

Reactivity:Human,Mouse,Rat

Synonyms:ABCG2; ABCP; BCRP; BCRP1; MXR; ATP-binding cassette sub-family G member 2; Breast cancer resistance protein; CDw338; Mitoxantrone resistance-associated protein; Placenta-specific ATP-binding cassette transporter; CD338

Type:Primary antibody

Rabbit Polyclonal PAX5 Antibody

中文名:PAX5抗体

Catalog:IPDX23127

Size: 50μl / 100μl

Application: WB IF IHC ICC FCM Elisa

Reactivity:Human,Mouse,Rat

Synonyms:PAX5; Paired box protein Pax-5; B-cell-specific transcription factor; BSAP

Type:Primary antibody

Rabbit Polyclonal Hsp27 Antibody

中文名:Hsp27抗体

Catalog:IPDX23122

Size: 50μl / 100μl

Application: WB IF IHC ICC FCM Elisa

Reactivity:Human,Mouse,Rat

Synonyms:HSPB1; HSP27; HSP28; Heat shock protein beta-1; HspB1; 28 kDa heat shock protein; Estrogen-regulated 24 kDa protein; Heat shock 27 kDa protein; HSP 27; Stress-responsive protein 27; SRP27

Type:Primary antibody

Rabbit Polyclonal CRISPRCas9SP Antibody

中文名:CRISPR Cas9 SP抗体

Catalog:IPDX23119

Size: 50μl / 100μl

Application: WB IF IHC ICC FCM Elisa

Reactivity:Streptococcus pyogenes

Synonyms:Cas9; CRISPR-associated endonuclease Cas9/Csn1; CRISPR-Cas9/Csn1; csn1; SpyCas9

Type:Primary antibody

Rabbit Polyclonal THOComplexSubunit1 Antibody

中文名:THO Complex Subunit 1抗体

Catalog:IPDX23118

Size: 50μl / 100μl

Application: WB IF IHC ICC FCM Elisa

Reactivity:Human,Mouse,Rat

Synonyms:Death domain containing protein p84N5; HPR1; hTREX84; Nuclear matrix protein p84; p84N5; THO complex 1; Tho1; Thoc1

Type:Primary antibody

Rabbit Polyclonal CD80 Antibody

中文名:CD80抗体

Catalog:IPDX23117

Size: 50μl / 100μl

Application: WB IF IHC ICC FCM Elisa

Reactivity:Human,Mouse,Rat

Synonyms:CD80; CD28LG; CD28LG1; LAB7; T-lymphocyte activation antigen CD80; Activation B7-1 antigen; BB1; CTLA-4 counter-receptor B7.1; B7; CD antigen CD80

Type:Primary antibody

Rabbit Polyclonal FilaminA Antibody

中文名:Filamin A抗体

Catalog:IPDX23115

Size: 50μl / 100μl

Application: WB IF IHC ICC FCM Elisa

Reactivity:Human,Mouse,Rat

Synonyms:ABP-280; ABPX; actin binding protein 280; Alpha-filamin; filamin 1; filamin A; alpha; FLN1; FLNA; FMD; MNS; NHBP; Non-muscle filamin; OPD; OPD1

Type:Primary antibody

Rabbit Polyclonal STAT2 Antibody

中文名:STAT2抗体

Catalog:IPDX23113

Size: 50μl / 100μl

Application: WB IF IHC ICC FCM Elisa

Reactivity:Human,Mouse,Rat

Synonyms:Homo sapiens interferon alpha induced transcriptional activator; ISGF 3; P113; signal transducer and activator of transcription 2 113kD; STAT113; Stat2

Type:Primary antibody

Rabbit Polyclonal VEGFReceptor2 Antibody

中文名:VEGF Receptor 2抗体

Catalog:IPDX23111

Size: 50μl / 100μl

Application: WB IF IHC ICC FCM Elisa

Reactivity:Human,Mouse,Rat

Synonyms:KDR; FLK1; VEGFR2; Vascular endothelial growth factor receptor 2; VEGFR-2; Fetal liver kinase 1; FLK-1; Kinase insert domain receptor; KDR; Protein-tyrosine kinase receptor flk-1; CD antigen CD309

Type:Primary antibody

Rabbit Polyclonal Tuberin Antibody

中文名:Tuberin抗体

Catalog:IPDX23110

Size: 50μl / 100μl

Application: WB IF IHC ICC FCM Elisa

Reactivity:Human,Mouse,Rat

Synonyms:TSC2; Tuberous sclerosis 2 homolog protein; Tuberous sclerosis 2 protein; Tuberin; TSC4

Type:Primary antibody

Rabbit Polyclonal MDB3 Antibody

中文名:MDB3抗体

Catalog:IPDX23109

Size: 50μl / 100μl

Application: WB IF IHC ICC FCM Elisa

Reactivity:Human,Mouse,Rat

Synonyms:MBD3; Methyl-CpG-binding domain protein 3; Methyl-CpG-binding protein MBD3

Type:Primary antibody

Rabbit Polyclonal LICadherin Antibody

中文名:LI Cadherin抗体

Catalog:IPDX23108

Size: 50μl / 100μl

Application: WB IF IHC ICC FCM Elisa

Reactivity:Human,Mouse,Rat

Synonyms:Cadherin 17; Cdh17; HPT 1; LI-cadherin; Liver Cadherin; liver inTine cadherin

Type:Primary antibody

Rabbit Polyclonal CD14 Antibody

中文名:CD14抗体

Catalog:IPDX23107

Size: 50μl / 100μl

Application: WB IF IHC ICC FCM Elisa

Reactivity:Human,Mouse,Rat

Synonyms:CD14; Monocyte differentiation antigen CD14; Myeloid cell-specific leucine-rich glycoprotein; CD antigen CD14

Type:Primary antibody

Rabbit Polyclonal ZEB1 Antibody

中文名:ZEB1抗体

Catalog:IPDX23106

Size: 50μl / 100μl

Application: WB IF IHC ICC FCM Elisa

Reactivity:Human,Mouse,Rat

Synonyms:BZP; TCF8; AREB6; FECD6; NIL2A; PPCD3; ZFHEP; ZFHX1A; DELTAEF1

Type:Primary antibody

Rabbit Polyclonal KA1 Antibody

中文名:KA1抗体

Catalog:IPDX23105

Size: 50μl / 100μl

Application: WB IF IHC ICC FCM Elisa

Reactivity:Human,Mouse,Rat

Synonyms:EAA1; GluK4; GRIK; Grik4; KA1

Type:Primary antibody

Rabbit Polyclonal CD79B Antibody

中文名:CD79B抗体

Catalog:IPDX23104

Size: 50μl / 100μl

Application: WB IF IHC ICC FCM Elisa

Reactivity:Human,Mouse,Rat

Synonyms:CD79B; AGM6; B29; IGB

Type:Primary antibody

Rabbit Polyclonal GIV Antibody

中文名:GIV抗体

Catalog:IPDX23103

Size: 50μl / 100μl

Application: WB IF IHC ICC FCM Elisa

Reactivity:Human,Mouse,Rat

Synonyms:Akt phosphorylation enhancer; APE; Coiled-coil domain-containing protein 88A; G alpha-interacting vesicle-associated protein; GIV; HkRP1

Type:Primary antibody

Rabbit Polyclonal PBK Antibody

中文名:PBK抗体

Catalog:IPDX23102

Size: 50μl / 100μl

Application: WB IF IHC ICC FCM Elisa

Reactivity:Human,Mouse,Rat

Synonyms:PBK; TOPK; Lymphokine-activated killer T-cell-originated protein kinase; Cancer/testis antigen 84; CT84; MAPKK-like protein kinase; Nori-3; PDZ-binding kinase; Spermatogenesis-related protein kinase; SPK; T-LAK cell-originated protein kinas

Type:Primary antibody

Rabbit Polyclonal Lipin1 Antibody

中文名:Lipin 1抗体

Catalog:IPDX23101

Size: 50μl / 100μl

Application: WB IF IHC ICC FCM Elisa

Reactivity:Human,Mouse,Rat

Synonyms:Lipin-1; Lpin1; PAP1

Type:Primary antibody

Rabbit Polyclonal EMSY Antibody

中文名:EMSY抗体

Catalog:IPDX23100

Size: 50μl / 100μl

Application: WB IF IHC ICC FCM Elisa

Reactivity:Human,Mouse,Rat

Synonyms:BRCA2-interacting transcriptional repressor EMSY

Type:Primary antibody