首页 / 产品

产品

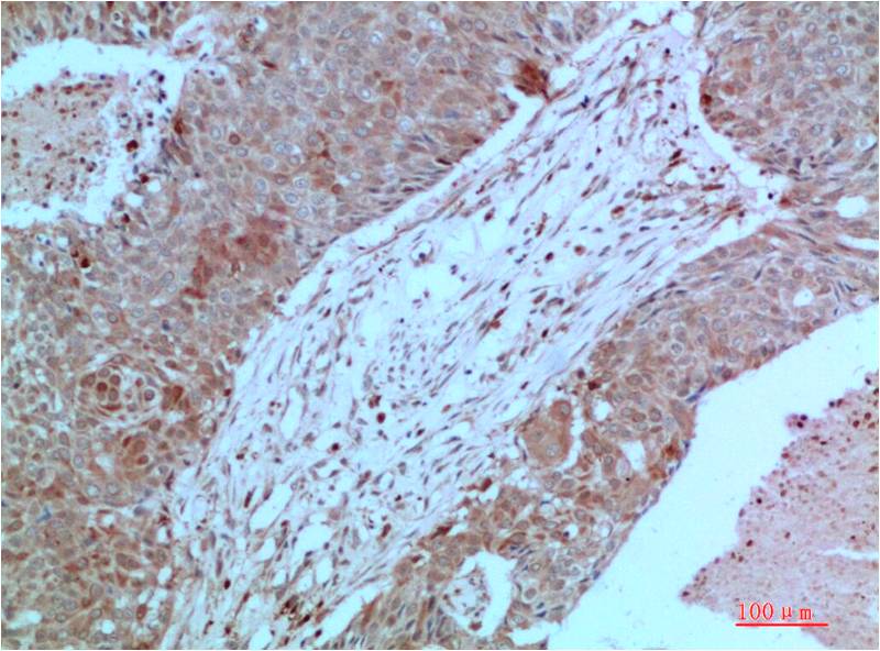
Mouse Monoclonal HumanSerumAlbumin Antibody

中文名:Human Serum Albumin抗体

Catalog:IPDX20713

Size: 50μl / 100μl

Application: WB IF IHC ICC FCM Elisa

Reactivity:Human,Mouse,Rat

Synonyms:ALB; ALBU_HUMAN; Albumin (32 AA); Albumin (AA 34); Albumin; Analbuminemia; Bisalbuminemia; Cell growth inhibiting protein 42; DKFZp779N1935; Dysalbuminemic hyperthyroxinemia; Growth inhibiting protein 20; HSA; Hyperthyroxinemia dysalbuminemic; Serum album

Type:Primary antibody

Human Antithrombin III(AT III)ELISA Kit

中文名:人抗凝血酶III(AT III)ELISA Kit

Catalog:IPD-E17902h

Size: 48T / 96T

种属:Homo sapiens (Human)

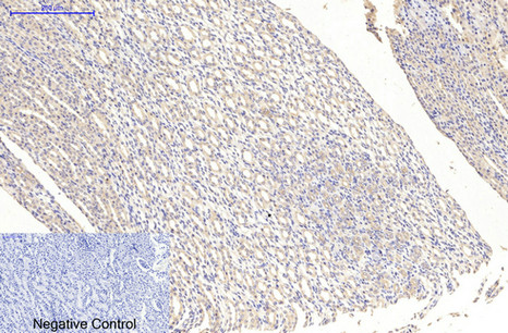
Mouse Monoclonal AKT Antibody

中文名:AKT抗体

Catalog:IPDX20711

Size: 50μl / 100μl

Application: WB IF IHC ICC FCM Elisa

Reactivity:Human,Mouse,Rat

Synonyms:AKT1

Type:Primary antibody

Human Serpin B5(SERPINB5) ELISA kit

中文名:人丝氨酸蛋白酶抑制剂B5(SERPINB5) 酶联免疫试剂盒

Catalog:IPD-EL021073HU

Size: 48T / 96T

种属:Homo sapiens (Human)

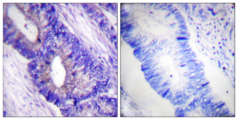
Mouse Monoclonal CHD3 Antibody

中文名:CHD3抗体

Catalog:IPDX20710

Size: 50μl / 100μl

Application: WB IF IHC ICC FCM Elisa

Reactivity:Human,Mouse,Rat

Synonyms:CHD3; Chromodomain-helicase-DNA-binding protein 3; CHD-3; ATP-dependent helicase CHD3; Mi-2 autoantigen 240 kDa protein; Mi2-alpha; Zinc finger helicase; hZFH

Type:Primary antibody

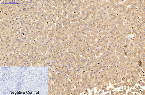
Mouse Monoclonal GRP78BiP Antibody

中文名:GRP78 BiP抗体

Catalog:IPDX20709

Size: 50μl / 100μl

Application: WB IF IHC ICC FCM Elisa

Reactivity:Human,Mouse,Rat

Synonyms:HSPA5; GRP78; 78 kDa glucose-regulated protein; GRP-78; Endoplasmic reticulum lumenal Ca(2+)-binding protein grp78; Heat shock 70 kDa protein 5; Immunoglobulin heavy chain-binding protein; BiP

Type:Primary antibody

Mouse Monoclonal EpCAM Antibody

中文名:EpCAM抗体

Catalog:IPDX20708

Size: 50μl / 100μl

Application: WB IF IHC ICC FCM Elisa

Reactivity:Human,Mouse,Rat

Synonyms:EPCAM; GA733-2; M1S2; M4S1; MIC18; TACSTD1; TROP1; Epithelial cell adhesion molecule; Ep-CAM; Adenocarcinoma-associated antigen; Cell surface glycoprotein Trop-1; Epithelial cell surface antigen; Epithelial glycoprotein; EGP; Epithelial glycoprotein 314;

Type:Primary antibody

Mouse Monoclonal HP1gamma Antibody

中文名:HP1 gamma抗体

Catalog:IPDX20707

Size: 50μl / 100μl

Application: WB IF IHC ICC FCM Elisa

Reactivity:Human,Mouse,Rat,Hamster

Synonyms:CBX3; Chromobox protein homolog 3; HECH; Heterochromatin protein 1 homolog gamma; HP1 gamma; Modifier 2 protein

Type:Primary antibody

Mouse Monoclonal ERK1/2 Antibody

中文名:ERK1/2抗体

Catalog:IPDX20704

Size: 50μl / 100μl

Application: WB IF IHC ICC FCM Elisa

Reactivity:Human,Mouse,Rat

Synonyms:MAPK3; ERK1; ERT2; ERK-1; PRKM3; P44ERK1; P44MAPK; HS44KDAP; HUMKER1A; p44-ERK1; p44-MAPK; MAPK1; ERK; p38; p40; p41; ERK2; ERT1; ERK-2; MAPK2; PRKM1; PRKM2; P42MAPK; p41mapk; p42-MAPK.

Type:Primary antibody

Mouse Monoclonal CyclophilinB Antibody

中文名:Cyclophilin B抗体

Catalog:IPDX20703

Size: 50μl / 100μl

Application: WB IF IHC ICC FCM Elisa

Reactivity:Human,Mouse,Rat

Synonyms:PPIB; CYPB; Peptidyl-prolyl cis-trans isomerase B; PPIase B; CYP-S1; Cyclophilin B; Rotamase B; S-cyclophilin; SCYLP

Type:Primary antibody

Human squamous cell carcinoma antigen 1 (SCCAg1) ELISA kit

中文名:人鳞状细胞癌抗原1(SCCAg1)ELISA Kit

Catalog:IPD-E09381h

Size: 48T / 96T

种属:Homo sapiens (Human)

Mouse Monoclonal CyclophilinB Antibody

中文名:Cyclophilin B抗体

Catalog:IPDX20702

Size: 50μl / 100μl

Application: WB IF IHC ICC FCM Elisa

Reactivity:Human,Mouse,Rat

Synonyms:PPIB; CYPB; Peptidyl-prolyl cis-trans isomerase B; PPIase B; CYP-S1; Cyclophilin B; Rotamase B; S-cyclophilin; SCYLP

Type:Primary antibody

Human Plasminogen activator inhibitor 2(SERPINB2) ELISA kit

中文名:人纤溶酶原激活剂抑制物2(SERPINB2)酶联免疫试剂盒

Catalog:IPD-EL021070HU

Size: 48T / 96T

种属:Homo sapiens (Human)

Mouse Monoclonal GRP78BiP Antibody

中文名:GRP78 BiP抗体

Catalog:IPDX20701

Size: 50μl / 100μl

Application: WB IF IHC ICC FCM Elisa

Reactivity:Human,Mouse,Rat

Synonyms:HSPA5; GRP78; 78 kDa glucose-regulated protein; GRP-78; Endoplasmic reticulum lumenal Ca(2+)-binding protein grp78; Heat shock 70 kDa protein 5; Immunoglobulin heavy chain-binding protein; BiP

Type:Primary antibody

Human Leukocyte elastase inhibitor(SERPINB1) ELISA kit

中文名:人白细胞弹性蛋白酶抑制剂(SERPINB1)酶联免疫试剂盒

Catalog:IPD-EL021065HU

Size: 48T / 96T

种属:Homo sapiens (Human)

Mouse Monoclonal GRP78BiP Antibody

中文名:GRP78 BiP抗体

Catalog:IPDX20700

Size: 50μl / 100μl

Application: WB IF IHC ICC FCM Elisa

Reactivity:Human,Mouse,Rat

Synonyms:HSPA5; GRP78; 78 kDa glucose-regulated protein; GRP-78; Endoplasmic reticulum lumenal Ca(2+)-binding protein grp78; Heat shock 70 kDa protein 5; Immunoglobulin heavy chain-binding protein; BiP

Type:Primary antibody

Human Thyroxine-Binding Globulin,TBG ELISA Kit

中文名:人甲状腺结合球蛋白(TBG)ELISA Kit

Catalog:IPD-E09501h

Size: 48T / 96T

种属:Homo sapiens (Human)

Mouse Monoclonal Hsp90alpha Antibody

中文名:Hsp90 alpha抗体

Catalog:IPDX20697

Size: 50μl / 100μl

Application: WB IF IHC ICC FCM Elisa

Reactivity:Human,Mouse,Rat

Synonyms:HSP90AA1; HSP90A; HSPC1; HSPCA; Heat shock protein HSP 90-alpha; Heat shock 86 kDa; HSP 86; HSP86; Renal carcinoma antigen NY-REN-38

Type:Primary antibody

Mouse Monoclonal AMPKbeta1 Antibody

中文名:AMPK beta 1抗体

Catalog:IPDX20695

Size: 50μl / 100μl

Application: WB IF IHC ICC FCM Elisa

Reactivity:Human,Mouse,Rat

Synonyms:5' ' -AMP-activated protein kinase subunit beta-1; AMP-activated; noncatalytic; beta-1; AMPK; AMPK beta 1 chain; AMPK subunit beta-1; AMPK-BETA-1; AMPKb; HAMPKb; PRKAB1

Type:Primary antibody

Mouse Corticosteroid-binding globulin(SERPINA6) ELISA kit

中文名:小鼠皮质类固醇结合球蛋白(SERPINA6)ELISA kit

Catalog:IPD-EL021062MO

Size: 48T / 96T

种属:Mus musculus (Mouse)