首页 / 产品

产品

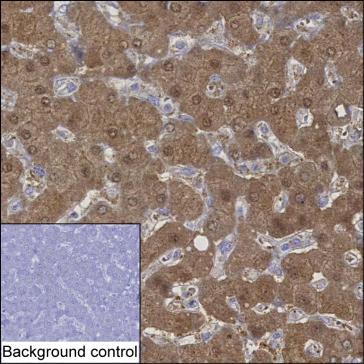
Rabbit Monoclonal PRC1 Antibody

中文名:PRC1抗体

Catalog:IPDX17011

Size: 50μl / 100μl

Application: WB IF IHC ICC FCM Elisa

Reactivity:Human,Mouse,Rat

Synonyms:ASE1; PRC1; Protein regulating cytokinesis 1;;PRC1

Type:Primary antibody

Rabbit Monoclonal MKLP1 Antibody

中文名:MKLP1抗体

Catalog:IPDX17010

Size: 100μl / 50μl

Application: WB IF IHC ICC FCM Elisa

Reactivity:Human,Mouse,Rat

Synonyms:CHO 1;CHO1;KIF 23;KIF23;;KNS L5;KNSL 5;KNSL5;Mitotic kinesin like 1;Mitotic kinesin like protein 1;MKLP 1;;KIF23

Type:Primary antibody

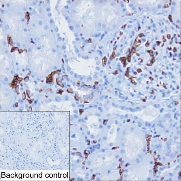
Rabbit Monoclonal Lrp2/Megalin Antibody

中文名:Lrp2/Megalin抗体

Catalog:IPDX17008

Size: 100μl / 50μl

Application: WB IF IHC ICC FCM Elisa

Reactivity:Human,Mouse,Rat

Synonyms:Low-density lipoprotein receptor-related protein 2; LRP-2; Glycoprotein 330; gp330; Megalin; LRP2; DBS;;LRP2

Type:Primary antibody

Rabbit Monoclonal DSG1 Antibody

中文名:DSG1抗体

Catalog:IPDX17007

Size: 100μl / 50μl

Application: WB IF IHC ICC FCM Elisa

Reactivity:Human,Mouse,Rat

Synonyms:Desmoglein-1; Desmosomal glycoprotein 1; DG1; DGI; Pemphigus foliaceus antigen; Cadherin family member 4; DSG1; CDHF4;Desmoglein 1

Type:Primary antibody

Mouse Indoleamine 2,3-dioxygenase 1(IDO1) ELISA kit

中文名:小鼠吲哚胺2,3-双加氧酶1(IDO1)ELISA kit

Catalog:IPD-EL010996MO

Size: 48T / 96T

种属:Mus musculus (Mouse)

Human indoleamine 2,3-dioxygenase,IDO ELISA Kit

中文名:人吲哚胺2,3-双加氧酶(IDO)ELISA Kit

Catalog:IPD-E09966h

Size: 48T / 96T

种属:Homo sapiens (Human)

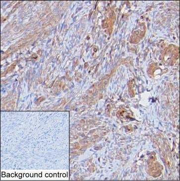
Rabbit Monoclonal TGFBI Antibody

中文名:TGFBI抗体

Catalog:IPDX17005

Size: 100μl / 50μl

Application: WB IF IHC ICC FCM Elisa

Reactivity:Human,Mouse,Rat

Synonyms:Beta ig; Beta ig h3; Beta ig-h3; BGH3_HUMAN; Big h3; BIGH3; CDB1; CDG2; CDGG1; CSD; CSD1; CSD2; CSD3; EBMD; Kerato epithelin; Kerato-epithelin; LCD1;;TGFBI

Type:Primary antibody

Human Isodesmosine (IDES) ELISA Kit

中文名:人异锁链素(IDES) ELISA Kit

Catalog:IPD-E14052h

Size: 48T / 96T

种属:Homo sapiens (Human)

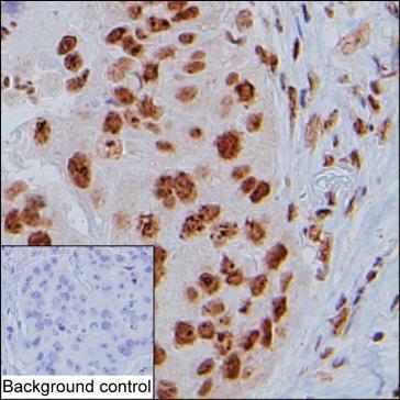
Rabbit Monoclonal RFP Antibody

中文名:RFP抗体

Catalog:IPDX17004

Size: 100μl / 50μl

Application: WB IF IHC ICC FCM Elisa

Reactivity:Recombinant protein

Synonyms:GFP like chromoprotein; red fluorescent protein; Red fluorescent protein eqFP611; RFP;;RFP tag

Type:Primary antibody

Rabbit Monoclonal LaminB1 Antibody

中文名:LaminB1抗体

Catalog:IPDX17003

Size: 100μl / 50μl

Application: WB IF IHC ICC FCM Elisa

Reactivity:Human,Mouse,Rat

Synonyms:LMN; ADLD; LMN2; LMNB; Lamin B1;;Lamin B1

Type:Primary antibody

Rabbit Monoclonal alphaTubulin(yeast) Antibody

中文名:alphaTubulin(yeast)抗体

Catalog:IPDX17002

Size: 100μl / 50μl

Application: WB IF IHC ICC FCM Elisa

Reactivity:Yeast(Saccharomycescerevisiae)

Synonyms:Alpha-tubulin 1;H2 ALPHA;LIS3;TUBA1;TUBA1A;Tuba4a;Tubulin alpha-4A chain;alpha Tubulin

Type:Primary antibody

Human DNA-binding protein inhibitor ID-1(ID1) ELISA kit

中文名:人DNA结合蛋白抑制剂ID-1(ID1)酶联免疫试剂盒

Catalog:IPD-EL010966HU

Size: 48T / 96T

种属:Homo sapiens (Human)

Human Recombinant Human Monoclonal FTCD Antibody

中文名:FTCD抗体

Catalog:IPDX16608

Size: 50μl / 100μl

Application: WB IF IHC ICC FCM Elisa

Reactivity:Human,Mouse,Rat

Synonyms:nan

Type:Primary antibody

Mouse Recombinant Mouse Monoclonal HOMER1 Antibody

中文名:HOMER1抗体

Catalog:IPDX16604

Size: 50μl / 100μl

Application: WB IF IHC ICC FCM Elisa

Reactivity:Human,Mouse,Rat

Synonyms:nan

Type:Primary antibody

Rat Monoclonal Tmem176b Antibody

中文名:Tmem176b抗体

Catalog:IPDX16491

Size: 50μl / 100μl

Application: WB IF IHC ICC FCM Elisa

Reactivity:Human,Mouse,Rat

Synonyms:nan

Type:Primary antibody

Mouse ICOS ligand(ICOSLG) ELISA kit

中文名:小鼠ICOS配体(ICOSLG)ELISA kit

Catalog:IPD-EL010958MO

Size: 48T / 96T

种属:Mus musculus (Mouse)

Mouse Monoclonal RatIgG2a-HRP Antibody

中文名:Rat IgG2a-HRP抗体

Catalog:IPDX16380

Size: 50μl / 100μl

Application: WB IF IHC ICC FCM Elisa

Reactivity:Rat

Synonyms:Mouse anti Rat IgG2a-HRP,Mouse anti Rat IgG2a HRP

Type:Secondary Antibody

Mouse Monoclonal RatIgG1-HRP Antibody

中文名:Rat IgG1-HRP抗体

Catalog:IPDX16379

Size: 50μl / 100μl

Application: WB IF IHC ICC FCM Elisa

Reactivity:Rat

Synonyms:Mouse anti Rat IgG1-HRP,Mouse anti Rat IgG1 HRP

Type:Secondary Antibody

Human ICOS ligand(ICOSLG) ELISA kit

中文名:人ICOS配体(ICOSLG) ELISA kit

Catalog:IPD-EL010958HU

Size: 48T / 96T

种属:Homo sapiens (Human)

Mouse Monoclonal RatIgG2c-HRP Antibody

中文名:Rat IgG2c-HRP抗体

Catalog:IPDX16376

Size: 50μl / 100μl

Application: WB IF IHC ICC FCM Elisa

Reactivity:Rat

Synonyms:Mouse anti Rat IgG2c-HRP,Mouse anti Rat IgG2c HRP

Type:Secondary Antibody